Signed in as:
filler@godaddy.com
Signed in as:
filler@godaddy.com

Whether you are a new patient, or an existing patient, there is a general flow to your dental visit. In this section, we will break down your dental visit and explain what your dental providers are doing in just that short one hour visit.

The first thing your dental team will do is have you fill out some paperwork. The most important form you will fill out is a comprehensive medical form including medical conditions, allergies and medications.

Your blood pressure is not only important for your overall health, but it is important to your dental team as well! It may seem we are just being pesky, but we use this information to track your overall health as well as procedures we do in our office that may affect your blood pressure.

We get it, nobody likes to have x-rays taken. Trust me, we don't enjoy them either. Dental radiographs are essential and vital to your providers to assess your current oral health. You can expect x-rays to be taken annually, or when an emergency arises, to diagnose treatments.

Your hygienist will assess your gum health on your initial visit and once annually thereafter. A special instrument is used, called a periodontal probe, to measure gum "pockets." More about these pockets later.

Using your medical history, radiographs and perio chart, your dental team (hygienist and dentist) will work together to determine the appropriate level of "cleaning" you will need. See the section below, there are different types of cleanings. They aren't all the same.

Finally, your dentist will come into the operatory to present any findings including cavities, periodontal disease, infections or address any of your concerns. In complex situations, the dentist may refer you to see a specialist.
On your initial visit your dental team will have some sort of medical paperwork to fill out. It is important that you list any medical conditions, medications and allergies on this form. There are major conditions, allergies and medications we look for before you even walk in the door. The biggest things I look for are the following:
These are important because they effect your dental treatment and how your dental team will provide your care. If you have anything artificial in your body, you may require a pre-medication prior to dental care, including your cleaning. A medical clearance to your physician may be needed to see that you do not infect your artificial joint/valve.
There are also certain medications that can contribute to your oral health. A lot of medications can cause xerostomia (dry mouth), which can contribute to your risk of oral manifestations. Certain classifications of popular blood pressure medications can cause gingival hyperplasia. This causes your gums to become enlarged and harbor more bacteria. So it is important we have your list of medications and allergies.
After your medical information has been reviewed, the dental team will take your blood pressure, this is not to annoy you. In fact, your blood pressure is very important! It not only gives us a picture of your general health, but many procedures we perform in our office require anesthetic. Local anesthetics, including Lidocaine, contain epinephrine. Epinephrine is a vasoconstrictor, meaning it reduces blood flow in the area we want to work in, increasing your overall blood pressure. Although it is slight, if your blood pressure is already high it can cause a big problem!! So, next time you get annoyed we are taking your blood pressure, just remember we are trying NOT to kill you!

Ultimately, the answer is yes! I can guarantee you that we do not like taking x-rays as much as you don't like receiving them.
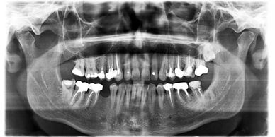
There are two types of dental x-rays you will come across: 1) Full mouth series/bitewings/periapicals, and 2) Panelipse (pano). Let's quickly breakdown the two and what the differences are.
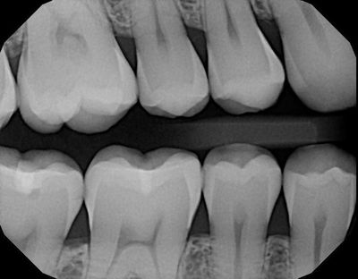
During your initial visit your dental team will take a full mouth series of x-rays. This is a set of 18 x-rays (14 periapical's and 4 bitewings). This set of x-rays is completed only once every 3 to 5 years depending on your periodontal status. This full mouth set of x-rays will take individual radiographs (periapicals, or "PA's") of each tooth. The dentist is looking at your bone levels, sinsuses, infections and any abnormalities of the tooth and/or root structure. Changes in teeth usually are slow or chronic, this is why you take these x-rays less frequently, unless you have an emergency. In addition, 4 bitewing x-rays (see picture above), these are your cavity detecting x-rays. Changes in the density of your tooth enamel will show the dentist where cavities are.
You can expect an annual set of bitewings. Bitewings are very useful to catch dental caries ("cavities") early before they reach to far into your tooth.
Lastly, a panelipse ("pano"), may be taken during your initial visit or anytime during your dental life. A pano is a 360-degree radiograph used to check for any pathology, 3rd molars and advanced periodontal disease.

I'm sorry! I try as hard as possible to make this experience as gentle as possible. There is a reason we do this each year. I promise, it is for you.
In the image in this section you will see an instrument. This is called a periodontal probe. The hygienist uses this instrument to measure the space between your tooth and the gum, this is called the pocket. You will hear about your pockets at every visit. It's best to understand what they are. Each periodontal probe has a set of markings on it. These measurements indicate one millimeter (mm). A healthy gum pocket is between 1 and 3 mm. If the gums are inflamed (gingivitis), the pocket will read 4 mm. This is a warning that your gums are unhappy. If the probe reads a measurement 5 to 6 mm this is active periodontal disease, it is best to catch periodontal disease during this stage. If a probe reading is beyond 6 mm, there may be a serious periodontal infection that requires a specialist. A periodontist, is a dental specialist that treats moderate to severe periodontal disease, surgical intervention may be necessary at this point.
If during your initial visit, or annual assessment, your pockets are getting deeper a deep cleaning may be needed. Hygienist and dentists routinely recommended scaling and root planing (SRP), a non-surgical treatment, used to remove plaque (biofilm) and calculus (tarter build-up).
Remember -- this is very important -- bacteria causes periodontal disease. Period. Repeat: bacteria (found in plaque biofilm) causes periodontal disease and the destruction of your periodontium (supporting structures). Bacteria in conjunction with host response determines disease progression.

You've waited this long and now it's finally time for your dental cleaning. Each hygienist is different, and each hygienist has his/her own way of doing things. Generally, the hygienist will quickly assess your oral health. The hygienist is looking for inflammation, bleeding, plaque and calculus, to determine how to proceed with your cleaning.
I usually start with the ultrasonic or Cavitron. This is the "electric" cleaner the hygienist uses on your teeth to clean plaque and calculus. Now, most patients can tolerate this procedure just fine, but I know there are some that cannot. If you cannot tolerate the electric cleaners, just let us know. Your hygienist can skip it, or if needed, use local anesthetics/desensitizers to help.
Next, the hygienist will use a series of hand instruments to remove residual plaque and/or calculus. This is commonly referred to as the "scraping" portion of your cleaning. This is important! Once all plaque and calculus has been removed, a prophy cup polish and floss will finish it up.
Here are some tips to help with your cleanings:
If it has been a while since your last cleaning you may need more than a "basic" cleaning. Yes, there are different types of cleanings. Your dentist and hygienist will go over this with you should you need a deeper cleaning or have active gingivitis.
After your cleaning, you can elect to have a fluoride varnish applied to help with caries prevention.

This is a video I shot using only my Meta Ray Ban smart glasses. But, yes, this is a typical routine adult prophylaxis.
We use cookies to analyze website traffic and optimize your website experience. By accepting our use of cookies, your data will be aggregated with all other user data.