Signed in as:
filler@godaddy.com
Signed in as:
filler@godaddy.com


Your doctor will use your current radiographs, digital scans, diagnodent readings and/or other available technology to diagnose dental caries, also known as cavities. During your examination, the dentist will look further into suspicious areas to diagnose and recommended treatment for any cavities.
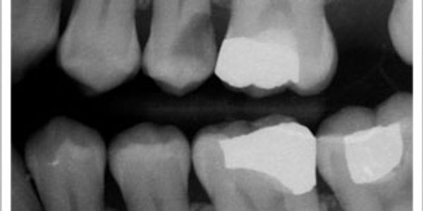
In the image provided, you can look at the upper pre-molar, notice the dark lesion present, that is a cavity. Your bitewing x-rays will show changes in the density of the enamel caused by bacterial infection. Once that infection has spread into the dentinal layer of your tooth, it's important to get it removed.

Your dental team will schedule you back to complete your restorative treatment. Upon your return, your dental team will check/update any medical changes and record your blood pressure. Next, the dentist or hygienist, will numb the working area with local anesthetics. For most, this step causes the most anxiety. Don't be shy to ask for nitrous oxide to help with your anxiety. After the area is numb, your dentist will begin removing the decay (cavity) with a series of dental drills (don't panic, it's okay). Once all the decay is removed, the dentist will place a filling to replace missing tooth structure. Once the filling is set and completed, it will be polished, smoothed and flossed to check for any defects in the filling.

If the cavity has progressed into the nerve chamber, you will need a referral to an endodontist for root canal therapy (RCT). It is possible the pulp is infected, or damaged, needing further treatment.
The best way to avoid fillings and root canals is to prevent them from happening in the first place. You can prevent yourself from getting dental infections (a cavity is an infection of your tooth caused by bacteria) by doing the following:

We use cookies to analyze website traffic and optimize your website experience. By accepting our use of cookies, your data will be aggregated with all other user data.