Signed in as:
filler@godaddy.com
Signed in as:
filler@godaddy.com
So your dental team says you need scaling & root planing (SRP), aka "deep cleaning." Your dental team will review your radiographs (looking for bone loss and calculus), periodontal charting (looking for pockets >3 mm) and clinical evaluation (appearance of gum tissues). By combining all your information, your dental team will recommend a deep cleaning to go deeper into pockets and remove bacteria (biofilm) and calculus. If you have active periodontal disease, a "cleaning" won't be enough to stop progression of disease.
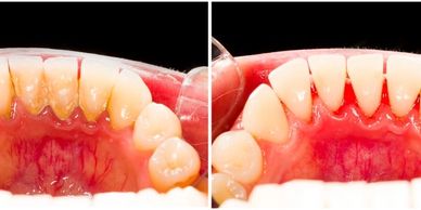
Your dental team has determined that you have active periodontal disease. SRP is a non-surgical intervention to remove plaque and calculus from the teeth. Healthy gum pockets range from 1 to 3 mm, when your pockets exceed this amount your hygienist will need to go further down your tooth onto the root structure. Over time, bacteria and calculus become embedded on the root surface causing destruction of your supporting structures.
In this section, I will go over the typical procedure and what you can expect during your deep cleaning. I promise, it's not as bad as you may expect. In fact, many of my patients are very thankful.. afterwards mostly.

Your dental hygienist, or dentist, will review your health history, check for any changes and record your blood pressure. Many states, including mine (WA), require your blood pressure to be taken before any anesthesia is administered. If your blood pressure is too high, you may be dismissed pending a medical clearance.

Once you have been cleared to proceed with treatment, your dental team will make sure the cleaning is very comfortable. If you are anxious, please ask for nitrous oxide (many offices have this readily available). Once you are comfortable, your dental hygienist, or some states a dentist, will apply either topical (along the gums) or local (injections) anesthesia to control any discomfort.

Your dental cleaning will be broken down into two appointments. Generally, the right side in one appointment and the left side in another. Once your mouth is numb, the hygienist will proceed with the Cavitron or "ultrasonic", this is an electric scaler to remove heavy deposits of calculus above and below the gum line. Depending on your periodontal chart, your hygienist may have to go deep into pockets to remove calculus deposits.

After the heavy stuff has been removed, your dental practitioner will use a series of hand instruments to go into gum pockets and remove any left over calculus and biofilm. It is not uncommon for localized areas to be re-treated with the ultrasonic. A tool called an explorer will go over each tooth surface to feel for any roughness or residual calculus.

After each appointment, your dental team may take a post op bitewing to check for any calculus hiding under your gums. If nothing is found, you can expect a few rules to follow after your procedure. Generally, you may want to take some OTC pain relievers for a few days. Rinse with warm salt water if needed. Use an extra-soft toothbrush while your gums heal. Your dental team may also prescribe a mouth rinse to use. Follow all instructions closely for optimal results.

After each quadrant, or side, is completed, you will need to follow up with your dental team closely for a period of time. Each office is different, but usually you will need to return in 8 to 12 weeks for a follow up. During the follow up, your periodontal chart will be updated (checking to see if pockets have been reduced), clinical assessment (gum tissues, color, inflammation, bleeding) and possibly radiographs. Further treatment may be required if disease progression occurs.
A brief video that explains all the information presented above. If you have any questions, feel free to drop me an email. Credit: Teeth Talk Girl.
We use cookies to analyze website traffic and optimize your website experience. By accepting our use of cookies, your data will be aggregated with all other user data.