Signed in as:
filler@godaddy.com
Signed in as:
filler@godaddy.com

In this section, we look closer into periodontal disease, its causes, treatments and effects on our overall health. First, let's define what periodontal disease is.
The Centers for Disease Control (CDC), defines periodontal disease as, "the result of infections and inflammation of the gums and bone that surround and support the teeth. In its early stage, called gingivitis, the gums can become swollen and red, and they may bleed. In its more serious form, called periodontitis, the gums can pull away from the tooth, bone can be lost, and the teeth may loosen or even fall out. Periodontal disease is mostly seen in adults. Periodontal disease and tooth decay are the two biggest threats to dental health".
Periodontal disease is typically a chronic disease, meaning it progresses slowly and occurs over your life time. Below we will look into disease progression, treatments available and interview our region's leading periodontal expert.

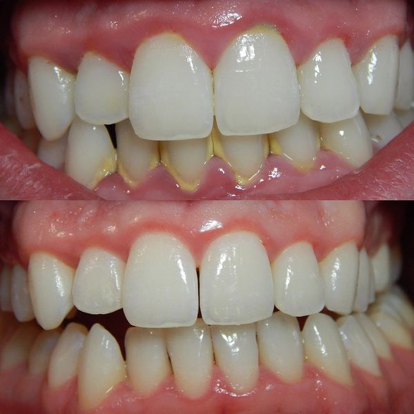
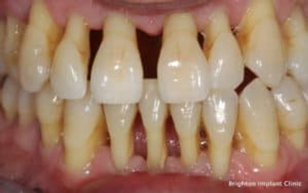
Plaque biofim (a sticky film that coats the teeth and contains bacteria) and calculus (calcified dental plaque, composed primarily of calcium phosphate mineral salts deposited between and within remnants of formerly viable microorganisms) build up on our teeth and cause inflammation. As the inflammation and biofilm continue to spread, it moves deeper into our periodontal structures and alveolar bone crest. At this point, you will begin to have slight bone loss, thus resulting in periodontitis (inflammation of the tissues around the teeth, often causing shrinkage of the gums and loosening of the teeth). It is best to catch periodontal disease during this stage. Non-surgical methods can be used to treat early periodontal disease.

If slight/early periodontal disease is not caught and treated, it will advance into the next stage: moderate periodontitis. A more advanced stage than the previous condition, you will begin to notice increased destruction of periodontal supporting structures and bone loss. You may even begin to notice your teeth becoming mobile (loose) and/or furcations (the anatomical area where the roots divide) forming. This is really the last stage your dental team will be able to provide treatment.

As disease stage progresses your teeth and the supporting structures may become damaged beyond repair. Typically, you will need to see a periodontist, or gum specialist, to intervene with a combination of non-surgical and surgical methods. You may experience tooth loss at this time. It is best to see your dental team as soon as you notice signs of periodontal disease. Remember, don't be shy. Your dental team is there to help, not judge.

Professor Lisa Bilich, RDH, BSDH, MSEd
Our regions leading expert in periodontology takes time to answer your questions.
By the way, I meant to say today not day :) Making videos makes me nervous. Go Eagles!!
We use cookies to analyze website traffic and optimize your website experience. By accepting our use of cookies, your data will be aggregated with all other user data.