Signed in as:
filler@godaddy.com
Signed in as:
filler@godaddy.com
This is one of the most common concerns, or problems, patients face. In this section we will look into what causes our teeth to become sensitive and what we can do about it.

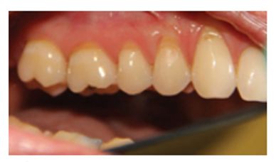
Gingival recession, or receding gums, is when your gums pull away from your tooth exposing root surfaces. When we suffer from receding gums, the soft dentin (inside the tooth) can become exposed. Dentin is full of tiny holes that lead directly to the nerve at the center of the tooth. This is why you might experience a twinge of sensitivity pain when you take a sip of ice-cold water, enjoy a hot cup of tea or bite into something sweet.
_no211.jpg/:/cr=t:0%25,l:0%25,w:100%25,h:100%25/rs=w:388,cg:true)
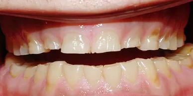
Dental erosion occurs when acids dissolve and soften the enamel layer of our teeth. When your enamel is thin it becomes hypersensitive to stimuli. The most common cause of erosion is from acidic foods and drinks (lemons, tomatoes, fruits, sodas). If you have uncontrolled acid reflux talk to your doctor. Your physician may be able to prescribe a medication to help.

The most common cause of bruxism/teeth grinding is stress. As we exert pressure on our teeth, and move them back and forth, we are wearing down the enamel (outer layer) of our teeth. As cracks form, and dentin is exposed, your teeth will become hypersensitive. In addition, bruxism can also lead to headaches and disorders of our jaw (TMJ).

When our gums are inflamed (red, puffy, bleeding) they become sensitive. Chronic gingivitis will eventually lead to periodontal disease, which results in loss of our supporting structures. As our gums recede, our pockets deepen, bone loss occurs, these changes causes hypersensitivity.

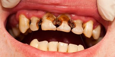
A cavity is a bacterial infection in your tooth. As the cavity progresses it digs further into your tooth. During this process, your tooth will become sensitive to colds, hots and sweets. It will only get worse over time, so it's best to see your dentist when symptoms first occur.

Brushing too hard, too frequently, or using the wrong toothbrush can damage your teeth and gums. Make sure to use an electric toothbrush (preferable with a pressure gauge), or a soft/extra soft manual brush, and gently brush your teeth twice daily. Avoid aggressive brushing, doing so can cause recessed gums, causing hypersensitivity.
Mention any hypersensitivity to your dental team. The most common form of sensitivity is to colds. This is typically a generalized sensitivity caused by exposed root surfaces. First, start simple by using a sensitive toothpaste (Sensodyne) consistently. If your symptoms do not improve over time, schedule an appointment with your dental team for further examination.
We use cookies to analyze website traffic and optimize your website experience. By accepting our use of cookies, your data will be aggregated with all other user data.